Javascript must be enabled for the correct page display
Hours & Contact
Monday - Wednesday:
8:00am - 5:00pm
Thursday:
7:00am - 4:00pm
Friday:
8:00am - 2:00pm
Have a question? Give us a call!
(423) 592-7676
facebook
instagram
youtube
google
Main Menu
Menu
Smile Gallery
Services
Emergency Dentist
General Dentistry
Wellness
Bad Breath
Dental Checkups
Restorative
Dental Bonding
Dental Bridges
Dental Implant Restorations
Dental Implants
Full Mouth Rehabilitation
Individual Dental Implants
Single Tooth Implant
Cosmetic
Invisalign
Porcelain Veneers
Teeth Whitening
Oral Surgery
All on Fours
Endodontics
About Us
Meet the Team
Dentists
Executives
Testimonials
Office Tour
Community Involvement
Blog
Dentist in Chattanooga
Dentist in East Ridge
Patient Info
Insurance & Financing
Special Offers
Dental Pricing & Treatment Plans FAQs
Pay Online
Request an Appointment
Search
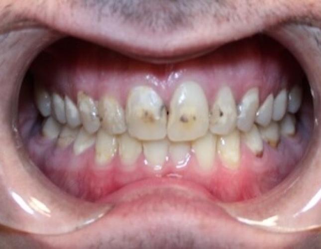
Case 3
Anonymous